ニワトリの発生, 英語版
販売企業:日本スリービー・サイエンティフィック株式会社
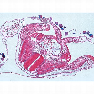
製品について
ニワトリの発生過程を観察できるプレパラート標本セットです。
特長
●標本の名称記載:英語
ニュース・プレスリリース
学術集会出展情報
ここから先をご覧いただくには、会員登録が必要です
この記事は会員限定です。ログインまたはご登録いただくと記事の続きをお読みいただけます。


